インプラント治療
インプラント治療は失ってしまった自分の歯の代わりに、人工の歯根を顎の骨に埋め込み、その上に人工の歯を装着してかみ合わせを回復する治療法です。
当院の基本的なインプラント治療の流れをご説明します。
インプラント治療の流れ

- STEP1 検査と治療計画
- 失われた歯の数、インプラントを埋め込む骨の硬さ、大きさ、位置により治療法には様々な選択肢があります。
口の中を実際に診てレントゲンや、口の型取りをさせていただき、模型に起こして診断します。場合によってCTを用いて多方面から治療方針を決めていきます。

- STEP2 手術
- 1回法と2回法があります。条件により判断させていただきます。
骨を削るというのは怖いイメージですが、麻酔をしているので痛みを感じることはほとんどありません。
また、麻酔が切れても痛み止めを服用すればそれほど痛みを気にしなくてよい程度です。

- STEP3 治癒期間
- 手術の後、2か月後に仮歯が入り噛めるようになります。前歯に関しては当日にはいりますので困ることはありません。

- STEP4 人工の歯を製作・装着
- インプラントに使用されているHAコーティングは骨と結合しやすい性質を持っているので4か月もすると最終の型取りを行い、上部構造(人工の歯)を作ります。
歯の色や形はそれぞれ違いますので各自に合わせて製作しインプラントに装着します。
これら上部構造(人工の歯)は様々な種類がありますのでご相談ください。
インプラント 費用
<インプラント手術費用 1回法>
・1か所:170,000円〜200,000円(税別)
・1か所:170,000円〜200,000円(税別)
上部構造(人工の歯)は別途費用となります。
当院では1回法の手術が基本で2回法の手術になると多くの工程が必要になることが多いので応相談となります。
Before/After
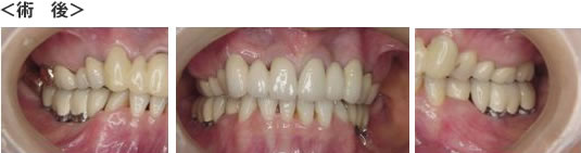
症例 1 63歳 女性
何度か入れ歯を作製したが合わないので何とかしてほしい。

下顎の左右奥歯が噛み合う所がなく入れ歯を入れるスペースが少ないため難しい。


下顎にインプラントを左右に3本、2本入れ、上下の噛み合わせも整えた。
症例 2 26歳 男性
駅の階段から転落、二本前歯を折り、その隣の歯は脱落した。
